为什么每个人的头发都有“旋” 两个旋真的更聪明么
大部分人的头发都至少有 1 个旋,有的甚至有好几个,老一辈还有说法:“一旋横,二旋拧,三旋打架不要命”“旋的位置决定性格”……你有没有好奇过,为什么头发会有旋?为什么多数旋都长在头顶靠后的位置?为什么有的人没有旋,有的人却有不止一个旋?发旋的方向会因为出生在南北半球而有所不同吗?不少科学家也好奇这些问题,所以我们来看看科学家们都有哪些发现吧!
头发的“旋”是怎么产生的?
目前其实有很多个不完全兼容的理论试图解释发旋的发生机制,其中一个古老但接受度较广、佐证案例较多的理论是:发旋形成于胎儿时期,由大脑发育对头皮施加的机械张力所导致[1]。
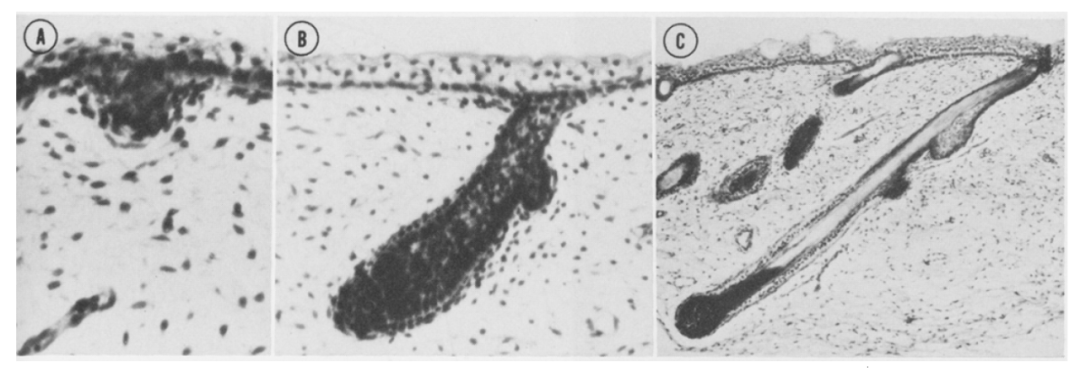
该理论解释道:头发的毛旋形成时间大约在胎儿 10~16 周之间,最晚不超过 18 周。在这一阶段,胎儿的大脑半球迅速发育、膨大,头皮因此被撑开,并在头顶后方(头顶部和枕部交界处)形成一个圆顶状的张力区。
而这一阶段,也恰好是头皮毛囊向下生长的时期。当原始的毛囊在向头皮深处探入时,头皮恰好在像吹气球一样缓慢扩张,这样一来,头顶后方那圈张力最大的头皮上,本该垂直生长的毛囊就被扩张的头皮“带歪”了(见下图)。毛囊顺着张力曲线形成了螺旋状的规律倒伏,而头发生长的方向也因此发生改变,变成了终生不会再变化的“发旋”。

胎儿头顶后方头皮中毛囊的发育过程。图 A 为 10 周,图 B 为 16 周,图 C 为 18 周。随着毛囊的向下生长,毛囊逐渐愈加倾斜。论文作者推测这一改变由皮肤受到牵拉所导致。图片来自参考文献[1]
这个理论不仅解释了发旋的成因以及为什么大多数人的发旋都位于头顶后方,也顺带解释了额面部的毛流规律。面部的毛发方向总是从一些固定点向外延伸(见下图),论文作者认为这也是面部毛囊在生长过程中受到发育的面部组织牵拉而产生的结果。

18 周胎儿面部的毛流特征。图片来自参考文献[1]
除了毛囊的组织学证据外,论文作者还用病例反向证明了大脑发育对于毛旋的影响。作者列举了脑膨出、双脑畸形、塔形脑症以及接近无脑畸形的严重小头畸形等大脑结构显著异常的病例,每一个病例的头毛分布模式也都显著异常,且都与大脑畸形的结构改变相匹配,说明当胎儿的大脑没能正常发育时,发旋的形成也会因此受到影响。
由于胎儿 18 周前,颅盖骨尚未形成,所以早期大脑正常发育但后期颅骨发育异常的儿童往往有正常的发旋。这一现象不仅佐证了发旋形成的时间窗,而且可以作为时间锚点推测颅脑畸形的发生时间:如果发旋异常,说明胎儿的大脑在18周以前就没能发育完善;如果发旋正常,说明胎儿的大脑早期得到了正常发育,但在后期受到了干扰。
这一理论后来也得到了其他学者的支持。1989年发布于美国皮肤病学会杂志《美国皮肤病学会杂志》(Journal of The American Academy of Dermatology)上的一篇综述[2]表达了对该理论的认可,但同时也指出,一些发育正常的儿童偶尔也会出现多个发旋或者发旋位置异常的情况(见下图),无法完全用力学原理解释,可能还和部分区域的代谢水平有关。不过,与正常人相比,发旋异常在颅脑发育异常的人之中常见得多。说明力学理论虽不是发旋发生的唯一原因,但一定是重要的影响因素。

而 2016 年的一篇论文更是直接复现了组织扩张作用于皮肤时产生的剪切力曲线[3]。研究者将皮肤扩张器埋置于猪皮下,记录了快速扩张后皮肤组织发生的形变,得到了近乎标准的黄金螺旋曲线(见下图)。这一结果无疑为发旋形成的力学假说提供了生动形象的理论支持。

不过,就像前文说的,力学理论不能解释所有毛旋现象。比如说,一些区域理论上不存在足够大的皮肤张力,但仍然出现了毛旋,对此,有基于哺乳动物的研究认为基因变异、表皮生长因子的信号传导模式等因素或许也在毛旋的形成中发挥了作用[4]。
发旋的方向:矛盾的研究,未解的谜团
虽然多数人都有发旋,但大家的发旋并不总朝着一个方向旋转。顺时针或者逆时针,哪种转向更常见呢?发旋的方向是随机决定还是有迹可循呢?关于这些问题,目前的研究可以说是众说纷纭。
两项针对发旋的独立研究纳入了共计 604 名白人研究对象[2],其中 97.5% 的人有单发旋,2.5% 的人有双发旋。单发旋的人之中,88.9% 的人都是顺时针发旋,只有 11.1% 的人是逆时针发旋。
这是不是能说明多数人的发旋以顺时针为主呢?不一定。
一项基于短发日本人的发旋研究[5]发现:日本人 51% 为顺时针发旋,49% 为逆时针发旋。两种方向的发旋几乎对半分。说明顺时针并不总是发旋优先选择的方向。
上述的研究基于不同的人种,会不会是基因在其中起了什么作用呢?研究日本人发旋特征的那位作者认为,日本人的发旋方向是随机的,所以至少在日本人群中,发旋方向特征不由遗传决定。然而,也有研究找到了发旋方向和基因的关联性。
一项基于中国人群的全基因组关联研究(GWAS)发现发旋方向是一种多基因性状,研究者还定位了四个与之相关的基因位点[6]。
一项基于双胎儿童的研究[7]也发现,双胞胎的发旋优先朝同一方向旋转。换句话说,基因一致的人发旋也倾向于一致,这说明发旋的方向确实受基因调控。研究者们还比较了南北半球儿童发旋方向的区别,结果发现南半球逆时针发旋的出现频率更高。说明除了基因外,南北半球这个环境因素也能影响发旋的方向。这个研究还获得了 2024 年搞笑诺贝尔奖的解剖学奖[8]。
另外,部分人的发旋方向并不显著,可能会对研究结论的准确性产生干扰。在 2009 年的一项论证男性发旋方向和性取向关系的论文中,研究者先排除掉了不够清晰的发旋(如谢顶、发色太浅、发量太少或太多等)和双发旋照片,将剩下的清晰的单发旋照片给两位观察者分别独立判断发旋方向,结果仍有 4.5% 的照片让两位观察者在判断方向时给出了截然相反的结论 [9]。
那么看到这里,你对于发旋的方向有什么看法或猜想吗?
踩一下[0]

站长云网
顶一下[0]